当院では放射線治療の半数以上を強度変調放射線治療(以下、I M R T)という手法を用いて行っています。
I M R Tとは、様々な方向から複雑な形の照射野を用いて、放射線に強弱をつけることで、従来の方法よりも、腫瘍の形に応じて、集中的に照射を行うことが出来る方法です。
また、この手法を用いることによって、従来と比べて正常臓器の放射線の量を抑えながら病巣に照射を行うことも可能です。これにより副作用を抑えつつ、より高い治療効果が期待できます。
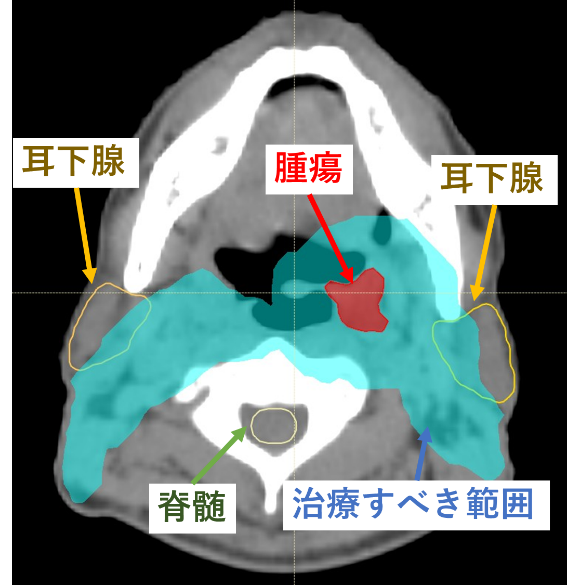
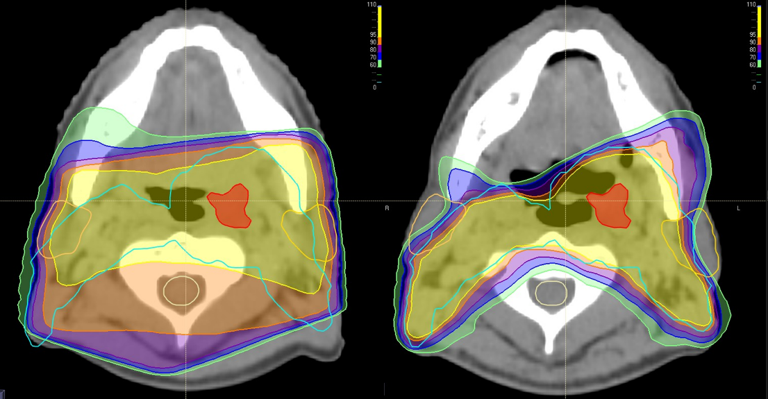
頭頸部癌に対して放射線治療を行った治療計画の一例です。

実際の腫瘍および予防的なリンパ節の範囲が治療として放射線を集中したい部分です。一方で、耳下腺や脊髄などの正常臓器はできるだけ放射線を当てたくない部分です。
以下に実際に放射線の当たる部位をお示しします。
黄色や橙色など暖色部分は放射線が強めに当たる範囲です。色が付いていない部分は放射線がほとんど当たっていないことを示しています。このようにI M R Tを用いて放射線治療を行うことで、正常臓器の放射線量を下げながら病巣へ集中した治療を行うことができます。
当院では、主に子宮頸部や膣などの婦人科癌治療に対して、腔内照射を行っています。県下では、腔内照射が行える施設は当院を合わせて2施設です。
腔内照射では、子宮および腟の中に専用の器具であるアプリケーターを挿入し、体の内部から腫瘍に対して強い放射線を照射することが可能です。外部照射と組み合わせることで、腫瘍局所の制御率を大幅に向上させることが期待できます。
従来は2方向からのレントゲン撮影による2次元治療計画が行われていましたが、現在、当院ではアプリケーターを挿入したままCT画像を撮影できます。この画像を使って、3次元治療計画を行うI G B Tを実施しています。
レントゲンよりも臓器が見えるため、腫瘍にしっかりと放射線を照射しながら、正常臓器の線量を低減することが可能です。
組織内照射とは、腫瘍の内部やその周囲に専用の細いニードル(径約2mm)をCT画像誘導下に直接刺入し、そのニードルを通して放射線を照射する治療法です。
近年、通常の腔内照射に組織内照射を併用するハイブリッド腔内照射と呼ばれる照射方法が普及してきています。
当院は県内で唯一、このハイブリッド腔内照射を施行可能な施設です。
従来の治療法が困難とされる症例にも放射線をより効果的に照射することが期待されています。
〈この記事は2025年1月1日時点の情報です〉